整形外科専門外来|川崎市中原区の動物病院なら、高野動物病院

診療時間
9:00~13:00
17:00~20:00

▲:12:00まで
木曜に重ならない祝日は通常通り診察します
休診日:木曜

〒211-0041
神奈川県川崎市中原区下小田中5-4-1

tel. 044-752-8199
  • 地図
  • メニュー

    こんな症状はありませんか?

  • 散歩に行きたがらない、歩く距離が短くなった。
  • 歩く速度が遅くなった。
  • 段差の上り下りを嫌がる、できなくなった。
  • ふらついている。
  • どこか足をかばっている。
  • 関節が腫れている、曲らない。
  • 立っている姿勢やお座りの姿勢がおかしい。
  • 体を触られるのを嫌がる、怒る。

整形外科専門外来について

上記の症状が見られる場合には骨、関節、腱、靭帯、筋肉といった運動に関与する器官に問題がある可能性があります。診察は問診、身体検査、必要に応じ画像検査や血液検査などを実施し、総合的に診断をします。
当院では積極的に新しい整形外科用の器具・機材を導入し、正確な診断と治療が行えるように努めております。より高度な医療が必要と判断した場合には、大学病院などの二次診療施設をご提案させていただくこともございます。
ワンちゃん、ネコちゃんが痛みなく元気に動けるよう、インフォームドコンセントのもと最適な治療方針をご提案させていただきます。

担当医 松葉 賢治

獣医整形外科 AO VET principale course 修了
獣医整形外科 AO VET advanced course 修了
Depuy Synthes VET主催 VET Spine セミナー修了
DePuy Synthes TPLO SEMINAR 修了
Movora Education TPLO Intermediate Seminar 修了
日本獣医がん学会 獣医腫瘍科認定医Ⅱ種

骨折

原因

多くは交通事故・落下などの強い衝撃が原因です。
最近では交通事故による骨折は少なくなりましたが、室内飼いの小型犬では前肢が細く衝撃に弱いため、抱っこ中に誤って落下したり、ソファやイスから飛び降りて骨折してしまうケースが増えてきています。

治療

骨折部のズレがなかったり、骨がすぐにくっつきそうな場合には外固定(保護)で治療する場合もありますが、多くの症例では全身麻酔下での手術が必要になります。小型犬の前肢骨折(橈骨・尺骨の骨折)は骨の端で起こりやすく、手術による固定が困難であったり、骨折部位の周囲に筋肉や血流が乏しく、骨の治りが悪いこともあります。しっかりと骨癒合が得られる(骨がくっつく)ように、骨折の部位や折れ方、症例の年齢や気質を考慮し最適な治療法を選択し、手術を行います。

骨折の手術は術前計画が非常に大切です。適切な術前計画がなければ、適切な手術は行うことはできません。当院では画像アプリケーションを使用し、術前計画をたて、最適な手術が行えるように努めております。

症例紹介

犬種:ポメラニアン、年齢:10ヶ月齢、体重:2.2kg、性別:オス
椅子から落下し右前腕の橈骨と尺骨を骨折した症例です。
術前計画で骨の大きさ、入れるプレート・スクリューを確認します。
手術は観血的に骨の変位を整復し、プレートとスクリューで内固定しております。この症例ではSynthesのプレート(LCP1.5)とスクリュー(コーテックスクリューとロッキングスクリュー)をハイブリットで使用しております。
術前レントゲン検査 術前計画 術後レントゲン検査
側面像 側面像 側面像
頭尾側像 頭尾側像 頭尾側像

症例紹介②

犬種:マルチーズ、年齢:6歳、体重:6.1kg、性別:去勢オス
前肢の中手骨(手の甲の骨)を3本骨折した症例です。
直径0.6mmのピンを骨髄腔に入れて固定しております。
骨幅は2.5mm程度と細く、骨髄腔も狭いため、骨が破綻しないように慎重にピンの設置を行いました。
術前レントゲン検査 術後レントゲン検査

肩関節脱臼

肩関節脱臼とは

肩関節脱臼は、肩甲骨から上腕骨が外れた状態を指します。
脱臼は上腕骨の位置が肩甲骨に対してどの位置あるかで外方、内方、頭側、尾側へと分類されますが、ワンちゃんの肩関節脱臼の多くは内方に外れます。

肩関節は肩甲骨と上腕骨がつながる関節で、関節の安定には周囲の靭帯や腱の役割が大きいと考えられています。
犬や猫の鎖骨は退化しており、肩関節を複雑に動かすことができません。特に犬は人の様に腕を外に広げることができないため、腕が外に開く無理な力がかかると肩関節の内側にある靱帯を痛めたり、脱臼を起こりやすくなってしまいます。
ワンちゃんを抱っこする時は、前足が外に広がらないように抱っこしてあげましょう。

正常な犬の肩関節 脱臼した犬の肩関節

原因

脱臼の原因は、外傷性先天性に大きく分けることができます。
外傷性は、関節に強い外力がかかった場合に起こり、落下や交通事故、過度に強い力でひっぱる、といったことが原因となります。
先天性とは「生まれつき」という意味ですが、肩関節の形成不全により元々の関節構造に異常があり、うまく関節が合致せずに脱臼が起こったものを先天性肘関節脱臼と言います。

外傷性脱臼の割合が高いとされますが、先天的または後天的な肩関節の不安定があると脱臼は起こりやすくなります。

近年では、肩関節不安定症と呼ばれ、不安定な肩関節をもつワンちゃんを見かけます。トイ・プードル、ポメラニアン、ヨークシャー・テリア、チワワなどのトイ犬種や、シェットランド・シープドッグなどで多く発生するとされますが、国内ではトイ・プードルでの発生が圧倒的に多いです。

症状

外傷性脱臼は、受傷の直後から前足を完全に挙げてしまいます。また一般的に痛みが強く患肢を触られるのを嫌がります。

先天性脱臼は、はっきりした『きっかけ』がないことが多く、症状も軽度で患肢への負重が弱い程度であることもあります。そのため飼い主様も脱臼していることに気が付かず、診察で発見されることも珍しくありません。

治療

治療は原因が外傷性なのか、先天性なのかによって変わります。
外傷性脱臼の場合には、『すぐに脱臼を整復する・もとに戻す』ことが基本です。整復後には包帯などで外固定を行い安静にする必要があります。
肩関節不安定症や重度の軟部組織損傷がある場合には、整復のみでは再脱臼する場合が多く手術が必要になります。手術方法は関節を安定化させる術式がいくつかありますが、それでも再脱臼してしまう場合には救済処置として関節切除による偽関節形成術や関節固定が行われます。

先天性脱臼の場合には症状の程度が様々であり、治療方針は症状によって判断する必要があります。症状が軽度であれば保存療法で経過観察を行いますが、重度の場合には救済処置として関節切除による偽関節形成術や関節固定が行われます。

手術写真
準備中

離断性骨軟骨炎
(Osteochondritis dissecans:OCD)

離断性骨軟骨炎とは

関節軟骨の骨軟骨症により軟骨の細胞分化や骨化異常が生じ、軟骨に亀裂や剥離が起こり、関節軟骨フラップが形成され炎症を伴ったものを離断性骨軟骨炎 (osteochondritis dissecans:OCD)と呼びます。
肩関節、膝関節、足根関節、肘関節、椎体関節などで起こり、肘関節では鉤状突起離断および内側上顆の合不全を起こす危険性が報告されています。

骨軟骨症 Osteochondrosisとは、軟骨の細胞分化に関する全身的な骨格の障害です。
大型および超大型犬での発症が多く、軟骨や骨の急激な成長時期(5~10ヶ月齢頃)に発症します。

原因

遺伝的要因や、急激な成長、食事や栄養(栄養過剰、栄養バラン不良、カルシウムの過剰摂取)、激しい運動などが関係していると考えられていますが、大型犬種や特定の犬種で発症リスクが高いことから、遺伝的要因が強いと考えられています。

症状

離断性骨軟骨炎による痛みが生じた足をかばうように破行(びっこ)みられます。片側の場合もありますが、左右両側の場合も珍しくありません。

治療

治療には大きくわけ保存療法(内科療法)と手術(外科療法)の2つがあります。

保存療法

初期の病態や軽症の場合には、保存療法として運動制限や体重管理、消炎鎮痛剤の投与により改善がみられることもありますが、離断した軟骨により症状が出ている場合の多くは手術が必要になります。

外科療法

関節鏡または関節切開を行い、遊離した骨軟骨片を除去し、下部の組織と接着していない病変周囲の軟骨の除去も行います。また必要に応じて軟骨の欠損した部位に掻爬やドリリングを行い、線維軟骨による修復を促します。

上腕二頭筋の腱鞘滑膜炎

上腕二頭筋の腱鞘滑膜炎とは

上腕二頭筋の腱や滑膜が肩の前方(右のレントゲン写真の赤矢印)あたりで損傷したり、炎症を起こす疾患です。
中型から大型の成犬や高齢犬で発症し、ラブラドール・レトリーバー、ロットワイラー、グレーハウンドが好発犬種とされています。

原因

過度の使用(オーバーユース)、体重過多、外傷、慢性的な肩関節の不安定、離断性骨軟骨炎からの続発などが原因となりますが、複数の原因が関与する場合もあります。
多くの症例では慢性経過を辿っており、診察時に正確な原因を特定することが困難です。

症状

破行(びっこ)、触診や屈曲時での疼痛、肩関節の可動域の低下が見られます。

治療

治療には保存療法(内科治療)と外科治療があります。

保存療法

初期の状態であれば保存療法で改善が期待できます。
安静にし、運動を控えます。非ステロイド系消炎鎮痛剤を使用し、炎症や痛みを抑えます。
痛みが治っても再発することが多いため、しっかりと治すためには4~6週間の安静が必要とされます。

外科療法

保存療法への反応が乏しい場合には手術が必要になります。炎症や損傷した上腕二頭筋腱を切断したり、付着部を別の場所に固定します。

肘関節形成不全(Canine elbow Dysplasia:CED)

犬の肘関節形成不全とは

犬の肘関節形成不全(CED)とは成長期に肘関節を構成する上腕骨、橈骨、尺骨において、関節軟骨や骨端軟骨(成長板)の発育異常や、成長不均衡を起こし発生する肘関節の疾患の総称になります。
CEDは股関節や膝関節の疾患に比べると、病態が複雑で診断と治療に苦慮する場合が多いです。

この疾患は急速な成長期(5~10ヶ月齢)に発症し、大型から超大型犬での罹患が多いとされています。また症状が片側のみであっても、両側の肘関節に発生していることが多いです。

CEDには以下の疾患が含まれます。
内側鈎状突起分離(Fragmented medial coronoid process:FCP)
肘突起癒合不全(Ununited Anconeal Process:UAP)
・上腕骨内側上顆の離断性骨軟骨炎(Osteochondrosis Dissecans:OCD)
・肘関節の不整列症・不適合(Elbow joint incongruity:EI)

犬の体重は後肢よりも前肢で支える割合が高く、そのためにCEDの多くは二次的に変形性関節炎が進行してしまいます。

CEDの診断には画像検査が必須となりますが、レントゲン検査のみでは病変が特定できない場合も多く、詳細な評価を行うためCT検査が推奨されます。

原因

一般的にCEDの発症原因については不明ですが、遺伝的要因が強く関与するとされています。その他にも急速な成長、外傷、過度な負荷、不適切な栄養、ホルモンの異常の関与が考えられています。

症状

罹患しているの前肢の破行(びっこ)、頭を上下させながら歩く、動きたがらない、運動開始時の関節の『こわばり』、肘関節の伸展や屈曲での痛みや可動域低下が認められます。

治療

治療方法には大きくわけ、保存療法(内科療法)と手術(外科療法)の2つがあります。

保存療法として鎮痛剤投与、体重管理、運動制限、サプリメントの投与などを行います。
CEDが疑われる場合には、より早期から保存療法を開始させることが推奨されます。

しかしCEDの症状が出ている場合、保存療法のみで十分に管理できるケースは少なく、二次性の変形性関節炎が発生、進行してしまいます。

適確な診断のもと、手術が適応となる病態であれば手術による原因の除去や緩和が推奨されます。

全てのCED症例で手術が適応になる訳ではありませんが、遊離した軟骨フラップや骨変の除去や、橈骨と尺骨の成長不均衡や肘関節の不整合に対し骨切り術や骨切除が選択される場合があります。
手術が実施できる時期が限られている場合も多いので、診断が遅れて手術のタイミングを逃すことがないよう注意が必要です。

手術で症状の緩和や病態の進行抑制は期待できますが、手術をしても正常な関節に戻る訳ではないため、術後も保存療法の継続が推奨されます。

慢性経過により関節炎が重度に進行している場合には、上述の手術は適応されず、より救済的な術式が選択されます。痛みを生じる遊離骨片があれば除去されますが、その他には『関節固定』、『関節面の部分的置換手術 Canine Unicompartmental Elbow』、『人工肘関節設置術 Total Elbow Replacement』などが選択肢となります。

外傷性肘関節脱臼

肘関節脱臼とは

肘関節は上腕骨と橈骨、尺骨の3つの骨から形成される関節です。
肘関節脱臼は、上腕骨と前腕の骨(橈骨と尺骨)が外れてしまう状態を指します。
前腕の骨の位置が上腕骨に対してどの位置あるかで外方、内方、頭側、尾側へと分類されますが、犬と猫の脱臼の多くは外方脱臼です。
また肘関節が3つの骨から形成される複雑な関節であるため、脱臼にもバリエーションがあり、骨折を伴っている場合も珍しくありません。

原因

脱臼を起こす外傷理由として、交通事故や高所からの落下、同居動物との喧嘩や戯れ、激しい運動などが挙げられます。
また関節の緩みが元々ある場合には、強い衝撃がなくても脱臼してしまう場合があります。

症状

受傷後からの急性の破行(びっこ)、前肢の挙上、触られるのを嫌がる、前足が変な方向に曲がっている、などの症状が出ます。

治療

脱臼の基本的な治療方針は「すぐに脱臼を整復する、もとに戻す」ことです。また脱臼が整復された後には整復された状態を維持する必要がありますが、方法は大きく分け包帯などでの外固定と手術による関節の安定化の2通りがあります。

非観血的整復と包帯などによる外固定
非観血的整復は一般的に全身麻酔または鎮静下において行われます。
骨折を伴わず、脱臼の整復が可能であり、整復後の肘関節が安定していれば、徒手にて脱臼を整復したあと関節を包帯で外固定します。包帯による安定化は約2~4週間は継続する必要がありますが、その間は皮膚のトラブルが起こらないか注意が必要です。

肘関節が脱臼する時には、関節の安定に寄与する靭帯や関節包、周囲の組織が損傷しており、整復後もこれらが元通りに回復することはありません。しかし脱臼した関節を整復し、整復状態が維持されると、新たな“結合組織”と呼ばれる組織が作られ“線維化”が生じ関節が安定化します。

手術(観血的整復)
脱臼の整復後に関節が安定していなかったり、外固定後に再度の脱臼が認められる場合には手術が必要になります。インプラントや人工靭帯を使って肘関節の安定化を図ります。 また手術の後には、2~4週間の運動制限が必要となります。

手術写真
準備中

犬の股関節形成不全
(Canine Hip Dysplasia)

股関節形成不全とは

股関節は大腿骨と骨盤が繋がる関節で、ボールの形をした大腿骨の大腿骨頭が、カップの形をした骨盤の寛骨臼に嵌り込んだ形状を取ります。
大腿骨頭は大腿骨頭靭帯によって骨盤のカップの底とつながり、さらにカップの辺縁と大腿骨頸部が関節包という袋で覆われるうようにつながり安定した股関節が形成されています。
その他にも寛骨臼の縁にある関節唇、寛骨臼の一部を覆う寛骨臼横靭帯、関節液による静水圧、関節周囲の筋肉が股関節の安定に関与します。

正常な股関節はボール状の大腿骨頭がカップ状の寛骨臼にしっかりと嵌まり込んだ構造をしています。
しかし、成長期において、股関節を支える周囲組織の緩みや、関節の不適合があると綺麗な股関節が形成されず、歪なボールと浅いカップが形成されてしまいます。その結果、不安定な関節となり、関節に炎症が起こります。この炎症は進行性であり変形性関節症や関節の可動性の低下をもたらします。

原因

原因は多因子であり、発現にはさまざま遺伝的要因、環境的要因が関与するとされております。はっきりとした病態は解明されておりませんが、遺伝的要因が強く関与していると考えれられています。
全ての犬種で起こりますが、特に大型犬や超大型犬では発生が多いとされます。

ニューファンドランド、セントバーナード、オールドイングリシュ・シープドッグ、ロットワイラー、ジャーマンシェパード、ゴールデンレトリバー、ラブラドールレトリバーといった大型犬での発症率が高い一方、サイトハウンド系での発症率は優位に低いとされます。

症状

症状はわずかな違和感程度のものから、重度な痛みを示すものまで様々です。
病態は時間の経過とともに悪化しますが、症状は若齢期(5~12ヶ月)と成熟後の2つのタイプに分けられています。

若齢期には関節の緩みから関節が不安定となり、骨同士が当たったり、関節を覆う関節包の一部である滑膜に炎症が起こり痛みが出ます。
運動を嫌がる、後肢をかばう、歩様異常(お尻を振って歩く、飛び跳ねる様に歩く)といった症状が見られます。

成熟期以降では、進行した慢性関節炎(変形性関節炎)により痛みや関節可動域の減少が生じます。運動し始めに破行(びっこ)、立ち上がりにくい、運動を嫌がるといった症状が見られるます。
関節炎の進行があっても、症状を示さない、はっきりしない場合も多く、触診やレントゲン検査で偶発的に発見される場合も多いです。

診断

より早期で発見、診断されることが好ましいです。進行性の疾患であるため、早期に診断し治療を行うことで、QOL(Quality Of Life:生活の質)の維持が期待されます。

一般的に診断は触診とレントゲン検査によって行われます。

幼少期に症状を示さない場合もあるので、まずは触診で股間節の緩みを見つけます。
レントゲン検査では骨の形態学的異常を確認しますが、関節の緩みは評価が困難です。緩みを客観的に評価する方法として、鎮静または麻酔下をかけて足を引っ張る様なストレスをかけてレントゲン検査を行う方法もあります(Penn HIP法)。

骨の成長が終わった成熟期以降はレントゲンで骨の形状を評価します。具体的には、大腿骨頭の形状、寛骨臼の形状、関節のはまり具合、関節炎の有無を評価し、今後の予後(関節炎の進行など)を予測します。

治療

まず治療の目標を設定します。
股関節の状態や症状はワンちゃんによって様々です。またどのような生活を送りたいかも、ワンちゃんや飼い主様によって様々であり、生活に合わせて目標を設定することが大切であると考えます。

治療方法は保存療法と外科療法に分けられます。股関節形成不全を持つ子の多くは保存療法を行うことで通常の日常生活を送ることが可能ですが、保存療法で十分な改善がみられない場合や、高い運動機能を求める場合、幼少期~若齢期(3~12ヶ月)に行う骨盤の矯正手術を希望する場合は、外科療法が適応となります。

保存療法

保存療法は体重管理、薬物療法、サプリメント、運動管理、リハビリテーションなどを組み合わせて行います。

・体重管理
体重増加は関節にかかる負担を増大させます。適切な体重を維持することで関節炎の進行を遅らせることが可能です。

・薬物療法
痛みが強い場合には適宜、痛み止めを使用します。最近では体に負担の少ない痛み止めも多くなりましたが、副作用の観点から最小限にとどめるべきと考えております。

・サプリメント
人と同様にグルコサミン、コンドロイチン、MSM、オメガ脂肪酸などが炎症を抑え、軟骨の保護に役立つと考えられています。

・運動管理
状態に合わせた管理が必要です。急性期や痛みが強い場合には運動の制限が必要です。一方、症状が落ち着いている場合には過度な負荷を避けた運動を行い、筋肉量や関節の可動性の維持を図ります。

外科療法

前述のように、多くのワンちゃんは保存療法により日常生活が可能なQOLを維持することが可能です。しかし症例によっては外科的介入が必要な場合もあります。
年齢(月齢)、骨の状態、症状、犬種、治療目標から術式を決定します。

股関節に対する外科療法として、以下の5つの術式が挙げられます。
1.若齢期恥骨結合癒合術(Juvenile Pubic Symphysiodesis:JPS)
2.三点骨盤骨切り術(Triple Pelvic Osteotomy:TPO)
3.二点骨盤骨切り術(Double Pelvic Osteotomy:DPO)
4.股関節全置換術(Total Hip Replacement:THR)
5.大腿骨頭骨頚部切除術(Femoral Head and Neck Osteotomy:FHO)

若齢期恥骨結合癒合術(Juvenile Pubic Symphysiodesis:JPS)

股関節の緩みがあり、4ヶ月齢(3~4月齢が適齢期)以内の成長期が適応となります。骨盤結合の前半分を電気メス等で焼烙、癒合させ成長を止めます。この部分の成長が止まることで、骨盤のカップがより大腿骨頭を覆うように成長させる術式です。
比較的簡単な手技で合併症も少ないですが、治療の効果は分かりにくいです。

二点骨盤骨切り術(Double Pelvic Osteotomy:DPO)

骨盤の2箇所(腸骨と恥骨)を骨切して、寛骨臼(カップ)が大腿骨頭(ボール)の背側を覆う様に回転し特殊なプレートで固定する術式です。坐骨も骨切りする場合には三点骨盤骨切り術(Triple Pelvic Osteotomy:TPO)となります。
4~12ヶ月齢(できれば5~6ヶ月齢)で行う手術ですが、股関節の緩みの程度、骨の形状、関節炎の有無などを評価し、手術が適応になるか慎重に判断する必要があります。
手術で正常な股関節になる訳ではありませんが、術後にはカップがボールに覆い被さり、関節のはまりが具合が改善、関節炎の進行も抑えられます。
しかし成長期(手術の適齢期)での診断の難しさや、術式の適用範囲、手術できる施設が少ないためが、現在は一般的に行われている手術ではありません。

股関節全置換術(Total Hip Replacement:THR)

股関節の寛骨臼(カップ)と大腿骨頭(ボール)を取り除き、人工のインプラントに置き換えます。
全ての年齢で実施可能ですが、骨の成長が終わった成犬期以降(1歳以降)に行われます。股関節形成不全以外にも、股関節脱臼、大腿骨頭壊死、骨折なども適用となります。手術が成功すれば正常な股関節と同様な機能回復が期待できます。
しかし合併症も10~18%で起こるとされており再手術の可能性も低くはありません。合併症の早期発見のためにも、術後の定期的な検診が必要になります。また日本で手術できる病院、執刀医が限られており、費用も高額になります。
残念ながら日本では治療の選択肢として一般的となっておりませんが、海外では日本に比べ多くのワンちゃんがこの手術を受けています。この手術の希望があれば実施可能な施設をご紹介させて頂きます。

股関節全置換術に興味がある方は下記のサイトをご覧ください。
手術のわかりやすいアニメーション動画も添付されております。Biomedtrixは米国の獣医用整形外科用インプラントメーカーで、股関節全置換術のインプラントにおいても世界的に高いシェアを占めております。
https://biomedtrix.com/total-hip-replacement/

大腿骨頭切除術(Femoral Head Ostectomy:FHO)

保存療法で管理が難しい場合や、他の術式がうまくいかなかった場合などの救済処置として行われます。大腿骨頚部を骨切し、骨頸部と大腿骨頭を摘出する手術です。
大腿骨と骨盤の関節構造は無くなってしまいますが、切り取った部分は結合組織というやわらかい組織に置き換わり、偽関節(ぎかんせつ)が形成されます。

股関節の機能は正常までには回復しませんが、リハビリテーションを行うことで日常生活を問題なく送れる場合がほとんどです。

症例紹介

犬種:ポメラニアン、年齢:6歳、体重:4.9kg、性別:避妊メス
両側の重度な股関節形成不全があり、右側に関しては慢性的な股関節亜脱臼が認められました。
右側に関しては保存療法で痛みの管理が不十分であったため、大腿骨頭切除を実施しました。
術前レントゲン検査 術後レントゲン検査

股関節脱臼

股関節脱臼とは

股関節は大腿骨と骨盤が繋がる関節で、ボールの形をした大腿骨の大腿骨頭が、カップの形をした骨盤の寛骨臼に嵌り込んだ形状を取ります。大腿骨頭は大腿骨頭靭帯によって骨盤のカップの底とつながり、さらにカップの辺縁と大腿骨頸部から関節包という袋で覆われるうようにつながり安定した関節が形成されています。
股関節脱臼は外傷性の関節脱臼の中では最も頻度が高く、大腿骨頭が寛骨臼から外れた状態を指します。股関節脱臼では、大腿骨頭が脱臼する方向によって頭背側、尾背側、腹側に分類され、なかでも頭背側脱臼がもっとも多く、全体の70~80%を占めるとされています。

腹側脱臼(正面) 腹側脱臼(横)

原因

多くの場合は落下や交通事故などの外力によって生じますが、ジャンプや着地の失敗、フローリングで滑ったなどといったことで脱臼する場合もあります。後者では、もともと股関節の嵌りが浅かったり、関節炎があったり、関節の安定に関与する構造に問題がある可能性があります。

症状

受傷後から脱臼した足の挙上が認められます。また一般的に痛みが強く、触られるのを嫌がります。

治療

脱臼の基本的な治療方針は「すぐに脱臼を整復する」ことです。また脱臼が整復された後には整復された状態を維持する必要がありますが、方法は大きく分け2種類あります。
1つ目は手術を行わず徒手にて脱臼を整復(非観血的整復)し、包帯などによる外固定を行う保存療法です。2つ目は外科的手術による脱臼整復と関節の安定化(観血的整復)です。いずれの方法でもうまくいかない場合は救済策として大腿骨頭切除術や、人工関節(股関節全置換術)を行います。

治療方法は何を選択するか、発症からの時間や、脱臼の方向や回数、関節の状態、動物の年齢や体重、性格をもとに飼い主様と相談し決定します。落下や交通事故など大きな外力がなく脱臼が起こってしまった場合には、脱臼を起こしやすい要因(関節炎や股関節形成不全、内分泌疾患など)がないか確認する必要があります。脱臼しやすい要因があると整復しても再脱臼を起こす可能性が高く、慎重に術式を選択する必要があります。

保存療法:非観血的整復と包帯などによる外固定
非観血的整復は一般的に全身麻酔または鎮静下において行われます。
脱臼の整復が可能であり、整復後の股関節が安定していれば、整復したあと関節を包帯で固定します。
包帯による安定化は約2~3週間は継続する必要がありますが、その間は皮膚のトラブルが起こらないか注意が必要です。

頭背側および尾背側脱臼の場合
脱臼を整復した後に後肢を内旋および屈曲させ股関節が少し開くように包帯を巻いて固定します(エーマースリング包帯法)。成功率は約50%であり、股関節形成不全などの問題を抱えている場合には成功率はさらに低下します。
*画像準備中

腹側脱臼の場合
脱臼を整復した後に股関節が開かないように包帯を巻きます(ホブル包帯法)。
股関節が脱臼するときには、関節の安定に寄与する大腿骨頭靭帯や関節包、周囲の組織が損傷しており、整復後もこれらが元通りに回復することはありません。しかし脱臼した関節の整復が維持できると、新たな“結合組織”と呼ばれる組織が作られ“線維化”が生じ関節は整復状態で安定化します。
*画像準備中

手術(観血的整復)
インプラントや人工靭帯を使って股関節の安定化を図る方法で、包帯での外固定よりも関節の安定性を高めることができます。手術方法は複数報告されており、まだ画一化されていないのが現状ですが、治療の成功率(再脱臼しない割合)は約70~90%とされます。一般的には以下の2つが選択される場合が多いです。
また手術のあとは4~6週間の運動制限が必要であり、再脱臼が生じた場合には、大腿骨頭切除術または股関節全置換術を行う必要があります。

関節包再建術
破れた関節包を直接縫う方法と、できなければスクリューや糸を用いて関節包の再建、補強を行います。

大腿骨頭靭帯の再建(トグルピン法)
人工靭帯(糸)とトグルピンと呼ばれるクリップ状の構造物で大腿骨頭靭帯を再建させる術式です。大腿骨頭と寛骨臼に孔を作り、そこにトグルピンと糸を通して締結し股関節を安定化させます。
*画像準備中
観血的整復術の術後レントゲン画像

大腿骨頭切除術(Femoral Head Ostectomy:FHO)
整復後に再脱臼が生じた場合や、複数回の麻酔や長い麻酔に耐えられない場合に選択され、大腿骨頚部を切り大腿骨頭を切除する救済的手術です。手術時間は上述の関節包再建術や大腿骨頭靭帯の再建(トグルピン法)と比較して短時間です。
よく『骨を切り取って大丈夫?』と聞かれますが、切り取った部分は結合組織というやわらかい組織に置き換わり、偽関節(ぎかんせつ)が形成されます。
この術式の最大の目的は脱臼により生じる痛みの除去です。また他の手術と違い、術後の再脱臼リスクがなく痛みが落ち着けば安静管理や運動制限などは必要ありません。
関節構造はなくなってしまうため股関節の機能は正常までには回復しませんが、リハビリテーションを行うことで日常生活を問題なく送れる場合がほとんどです。

手術前 手術後

大腿骨頭壊死症(レッグ・カルベ・ペルテス病)

大腿骨頭壊死症(レッグ・カルベ・ペルテス病)とは

大腿骨の骨頭と呼ばれる部位が壊死してしまう疾患です。
この疾患は若齢期の小型犬において、4~12ヵ月齢の成長期に発症します。多くは片側のみに発症しますが、15%程度では両側性に発症する場合があります。
人では発生率に男女差がみられますが、犬では一部の犬種をのぞき発生に雌雄差は認められません。

原因

大腿骨頭に血液を供給している血管が減少することで、血流障害が起こり、大腿骨頭が虚血により壊死を起こしてしまいます。血管が減少し血流障害が起こる原因については諸説ありますが、まだ明確になっておりません。

症状

大腿骨頭の血流障害が起こり、骨が脆くなることで変形や圧迫骨折が起こり、強い痛みが生じます。
慢性かつ進行性の痛みと、後肢の跛行(びっこ)が認められます。時間が経過すると後肢の筋肉量が減少し、足が細くなってしまいます。

診断

診断にはX線検査やCT検査といった画像検査が用いられます。X線撮影では大腿骨頭の変形、レントゲン透過性の変化、足の筋肉量の減少などが認められます。明らかな臨床症状を示す疾患の中期以降ではレントゲン検査で診断を下すことが可能ですが、初期の段階ではレントゲンでの変化が乏しくCT検査でより詳細な評価が必要になる場合があります。

治療

痛みが軽度であれば鎮痛剤で痛みを抑えることは出来ますが、壊死した大腿骨頭が元に戻ることはないため、多くの場合は手術が必要になります。壊死した大腿骨頭を切除する大腿骨頭切除術(Femoral Head Ostectomy:FHO)もしくは股関節を人工関節に置換する股関節全置換術が適応となります。

大腿骨頭切除術(Femoral Head Ostectomy:FHO)
多くの場合、大腿骨頭壊死症の手術として大腿骨頭切除術が適用されます。手術の一番の目的は痛みの除去になります。この術式では元来の関節構造はなくなってしまいますが、術後は関節周囲の結合組織が増成し偽関節が形成され、歩行や軽い運動などの日常生活であれば不自由なく送れるようになることが多いです。

術前 術後 摘出した大腿骨頭
犬種 ビションフリーゼ✕マルチーズ
年齢 9ヶ月
体重 3.7kg
性別 避妊・メス
左後肢の破行を主訴に来院されました。左股関節の痛みと、大腿骨頭の重度の変形が確認されたため、大腿骨頭壊死と判断し手術に至りました。
摘出した大腿骨頭の軟骨表面には重度の変形が確認されました。

股関節全置換術(Total Hip Replacement:THR)
股関節全置換術はもともと大型犬の股関節形成不全に対し適用されておりましたが、近年では小型犬の大腿骨頭壊死症に対しても実施される場合があります。手術できる病院が限られるため、ご希望があれば他院をご紹介させていただきます。費用も高額になり、術後も定期的な検診が必要になるため、まだ一般的な治療選択となっておりませんが、手術が成功すれば高い機能回復が期待できる方法となります。

大腿骨頭壊死症では痛みにより後肢の負重を嫌がるため、正常側と比較して筋肉量が著しく低下します。筋肉量が低下していると術後の機能回復までに時間がかかってしまうため、診断がついたら早期に手術を行うことが望ましいとされます。また術後に痛みが落ち着いていれば、早期からリハビリを行う事でより早い機能改善が期待できます。大腿骨頭切除した場合、退院は術後4~5日程度で、費用は術前の併発疾患や合併症がなければ20~22万円(税抜)ほどかかります。

膝蓋骨脱臼

膝蓋骨脱臼とは

膝関節には膝蓋骨というお皿の形をした骨があります。正常な膝蓋骨は筋肉や靭帯、関節包によって支えられ、大腿骨の滑車溝とよばれる溝の中に収まり、膝関節の曲げ伸ばしに伴い滑車溝の中で上下に動きます。膝蓋骨が滑車溝から外れる(脱臼する)ことを膝蓋骨脱臼といいます。膝蓋骨が膝関節の内側に脱臼する場合を内方脱臼、外側に脱臼する場合を外方脱臼と言います。

膝蓋骨脱臼は小型犬に多い病気ですが、大型犬にもみられます。脱臼の方向は小型犬・大型犬ともに内方脱臼が多く認められています(内方脱臼:全体の約90%、外方脱臼:約10%)。また小型犬は先天的に膝蓋骨が滑車溝から外れやすく、多くは内側に外れます。

脱臼の重症度は以下のように分類されております。

膝蓋骨脱臼の重症度
正常膝蓋骨は脱臼しない。
1手で押すと膝蓋骨が脱臼するが、手を離すと正しい位置に戻る。
2膝の曲げ伸ばしなどで自然に脱臼と整復が繰り返し起こる。
3膝蓋骨は常に脱臼している。手で押すと正しい位置に戻すことができるが、手を離すとまた脱臼する。
4膝蓋骨は常に脱臼している。手で押しても正しい位置には戻らない。

原因

膝蓋骨が外れる原因は明確に解明されておりませんが、大きく「先天性」と「外傷性」の2つに分けて考えられます。小型犬では先天性の膝蓋骨脱臼が多く、成長期(3~5ヵ月齢)に膝蓋骨が脱臼し、成長とともに骨が曲がったり、膝の曲げ伸ばしが困難になったりします。外傷性の膝蓋骨脱臼は、転倒や落下、ジャンプなどの外力によって膝蓋骨を安定化させる膝の靱帯や腱、関節包が損傷し、脱臼が起こります。

症状

成長期にゆっくりと進行していく場合には痛みがなく、無症状のことも珍しくありません。しかし急激に脱臼の重症度が悪化した場合や、長期に渡り膝蓋骨が脱臼した状態が続き関節軟骨が削れた場合、骨の変形、膝関節の靭帯損傷が起こった場合は痛みや跛行(ビッコ)が生じます。

治療

治療には保存療法(内科治療)と外科治療があります。重症度や年齢、体重、活動性、合併症の有無のなどから総合的に判断し、ベストな治療方法を選択します。

脱臼があっても症状がみられない場合や、軽い症状であったり、脱臼の頻度が低い場合には、保存療法(内服薬、サプリメント、注射、運動制限、リハビリテーションなど)で経過をみることがあります。しかし膝蓋骨脱臼は膝蓋骨の脱臼という物理的な異常が問題であるため、保存療法では脱臼は通常改善しません。根本的な治療は手術による脱臼の整復となります。そのため症状が出ている場合や、持続的に脱臼が見られる場合には麻酔や手術の合併症のリスクはあるものの、外科的治療による整復術が望ましいと考えられます。

手術はそれぞれの症例の状況に応じて、複数の術式を組み合わせて行います。
当院での手術は膝蓋骨を本来の位置に戻し維持できるように、下記の術式を組み合わせて行います。

・滑車溝造溝術
・脛骨粗面転移術
・内側支帯解放術
・外側支帯縫縮術
・その他

術後の経過に問題がなければ5日程度で退院になります。
費用は術前の併発疾患や合併症がなければ24〜26万円(税抜)ほどかかります。また術後も関節が安定するまではしばらく安静にする必要があります。

膝蓋骨内方脱臼 症例

術前 術後
犬種 ポメラニアン
年齢 1歳1ヶ月
体重 3.0kg
性別 避妊・メス
右後肢の膝蓋骨内方脱臼 重症度3
この症例は滑車溝造溝術、脛骨粗面転移術、内側支帯解放術、外側支帯縫縮術を実施しております。術後は膝蓋骨は正常位置に矯正され、脱臼は認められておりません。

膝蓋骨内方脱臼 症例②

術前 術後
犬種 トイ・プードル
年齢 1歳10ヶ月
体重 5.4kg
性別 去勢・オス
左後肢の膝蓋骨内方脱臼 重症度3
手術は滑車溝造溝術、脛骨粗面転移術、内側支帯解放術、外側支帯縫縮術を実施しております。
症例の体格と活動性を考慮して、脛骨粗面転移術はテンションバンドワイヤーを用い固定を強固にしております。

前十字靭帯断裂

前十字靭帯断裂とは

前十字靭帯は膝関節の中にある大腿骨と脛骨をつなぐ靭帯であり、後十字靭帯とクロスして存在し膝関節の安定性に関与しています。前十字靭帯は、大腿骨に対して脛骨が前方へずれるのを制御したり、脛骨が内側に向きすぎないようにしています。

前十字靭帯は線維の束であり、断裂は部分断裂と完全断裂に分けられます。
前十字靭帯が完全に切れてしまうと、大腿骨に対して脛骨が前方へ変位するのを制御できなくなり、負重時に脛骨の前方変位が生じます。また大腿骨と脛骨の骨の間には半月板というクッションが存在しますが、前十字靭帯断裂により膝関節が不安定な状態が続くと、この半月板が大腿骨と脛骨に挟まれて損傷することがあります。

原因

ヒトの前十字靭帯損傷はほとんどが外傷性であり、スポーツ選手が競技中に発症することが多いです。しかし犬の場合は前十字靭帯の加齢性変化(変性)が関与するとされ、散歩などの日常生活の中で靭帯の断裂が生じます。
また、犬の前十字靭帯損傷は靭帯の変性が要因の1つであり、片側の前十字靭帯が断裂した場合には、約40%の確率で反対側の靭帯損傷が生じるとされています。前十字靭帯断裂の診断時に反対側の膝のレントゲン画像に異常が認められる場合、反対側での靭帯断裂の発生率は60%以上になると報告されています。

症状

前十字靭帯の断裂が生じると、突然の跛行(ビッコ)を示します。症状は1週間程度で良化することもありますが、半月板損傷が起こると、痛みから跛行が続くことがあります。

治療

治療は保存療法と外科療法に分けられます。

保存療法
保存療法ではケージレストや痛み止めなどの投薬を行います。断裂した前十字靭帯が再生することはありませんが、膝関節の周囲組織が増生し関節が安定化するのを待つ方法です。
体重が軽い犬では保存療法によって症状が改善することもありますが、膝の不安定が残ったり、外科療法に比べて関節炎が進行しやすい傾向があります。また保存療法で症状の改善が乏しい場合は、半月板を損傷している可能性があるため、外科療法に切り替える必要があります。

外科療法
外科療法では痛みの原因を除去し、膝関節を安定化させます。
損傷した半月板や断裂し残存した前十字靭帯が痛みの原因となるため、関節内を調べ必要に応じ除去します。膝関節を安定化させる術式は多数存在しますが、当院では腓腹筋種子骨と脛骨に糸をかけ関節を安定化させる方法(Fabello-tibial suture:FTS)であるFLO法、または矯正骨切り術の脛骨高平部水平化骨切り術(Tibial plateau leveling osteotomy:TPLO)という術式を行なっております。

Flo法(変法)
この術式は外側腓腹筋種子骨と脛骨に糸を掛け、関節を外側から糸で縛って膝を安定化させる方法です。比較的シンプルな術式であり、過去の報告でも長期的な予後は良好とされております。
しかし関節包を外から糸で縛るため、術後に違和感が出たり、膝関節が安定する前に糸が緩んだり切れたりすると膝の不安定が生じる可能性もあり、症例の状態を考慮し術式を選択する必要あります。

前十字靭帯断裂(Flo) 症例

術前 術後 手術説明
犬種 パピヨン
年齢 13歳6ヶ月
体重 4.0kg
性別 去勢・オス
保存療法で経過観察を行いましたが、膝の痛みと不安定が続いたため手術に至った症例です。高齢かつ腎障害もあり、手術時間を短縮するためTPLOではなくFLO法を選択しました。
術前のレントゲンでは脛骨が前方にズレていますが、術後には正しい位置に整復されています。
使用した糸はナイロン製でレントゲンには写らない素材ですが、右の写真のオレンジ色の点の位置で脛骨に穴をあけ糸を通し、赤線のように糸が設置されております。

TPLO
脛骨の骨端で大腿骨から体重を受ける部分を円形状に切って向きを変えることで、負重時に脛骨を前方変位させる力を中和する方法です。この術式では緻密な術前計画や特殊な刃で骨を円形に切ったり、切った骨をプレートとスクリューで固定する必要があります。そのためFlo法と比較して多くの器具や作業が必要になりますが、術後の機能回復が早く、受傷後に起こる関節炎の進行も緩徐であるとの報告があります。


術後の経過に問題がなければ5〜7日程度で退院になります。
費用は術前の併発疾患や合併症がなければ30〜35万円(税抜)ほどかかります。退院後も骨や関節が安定するまではしばらく安静にする必要があります。

前十字靭帯断裂(TPLO) 症例

術前 術後
犬種 チワワ
年齢 2歳4ヶ月
体重 3.2kg
性別 避妊・メス
脛骨高平部角度(TPA)は術前の26.0度から術後は6.0度に矯正され、脛骨の前方への滑り出しが消失しました。
骨切り後はVOI社製のTPLOプレート1.5mmにて固定しています。

前十字靭帯断裂(TPLO) 症例②

術前 術後
犬種 トイ・プードル
年齢 12歳3ヶ月
体重 4.9kg
性別 避妊・メス
保存療法では十分な改善が得られず、手術に至った症例です。
固定はSynthesのTPLOプレート2.0とスクリュー(コーテックスクリューとロッキングスクリュー)を使用しております。TPAは術前が27度、術後は5.0度に矯正されております。

予後

前十字靭帯断裂が生じると、手術を行なっても慢性関節炎はゆっくり進行していきます。しかし手術により痛みの除去と、膝関節の安定化が得られればいずれの術式でも長期的な予後は良好とされています。

手術方法によって成績や回復にかかる時間、合併症、かかる費用が異なるため、症例に応じて最適な方法を飼い主様と相談し実施できるよう努めております。

その他

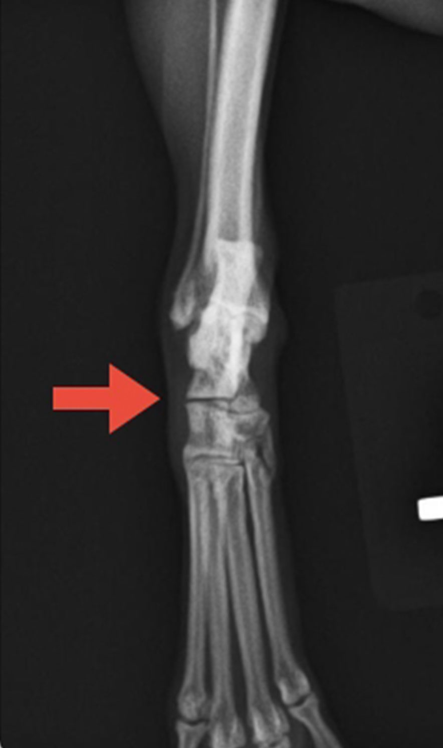
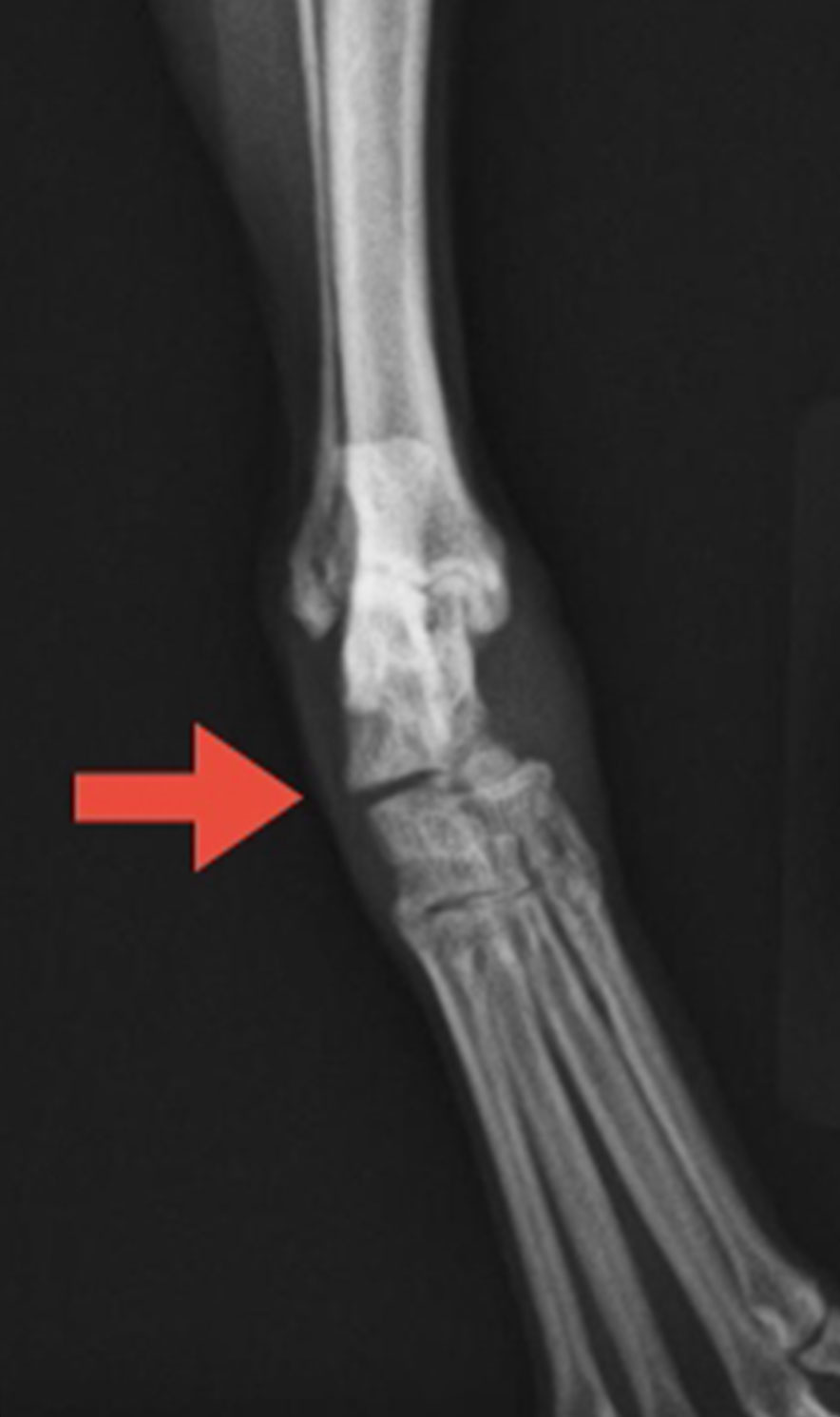
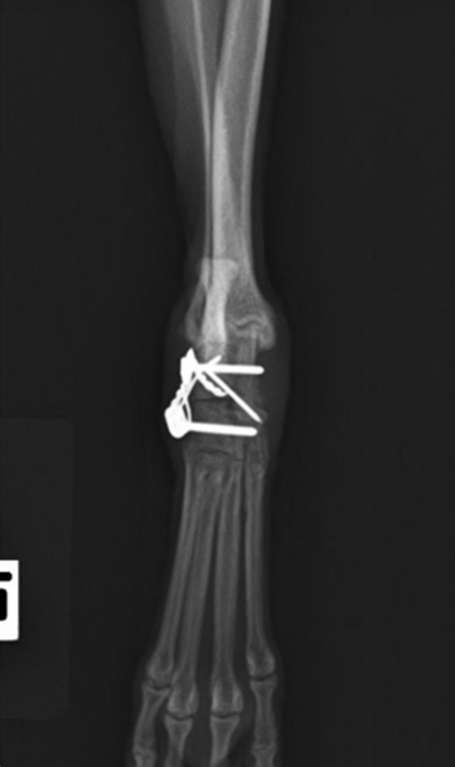
症例紹介(足根関節の脱臼・亜脱臼)

術前 術後
主訴右後肢の跛行(びっこ)
犬種ポメラニアン
年齢4歳5ヶ月
体重4.2kg
性別避妊・メス
右側足根関節の外側の靭帯が一部損傷し、関節の不安定と痛みが生じた症例です。レントゲン写真で関節に意図的に力(ストレス)を加え撮影すると、骨のズレ・不安定が確認されました(赤矢印)。
保存療法では改善が見られず、手術で関節を安定化させました。不安定になった骨同士を、スクリューとワイヤー、ピンで固定しております。